Restorative Dentistry
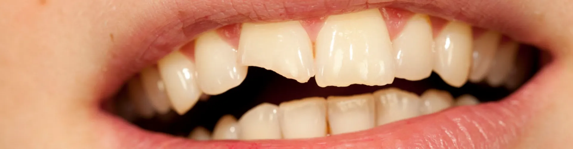
Chipped Tooth or Cracked Crown?
Chipped Tooth or Cracked Crown?
I was going to the Vartanian Dental Group in Mission Viejo for my regular teeth cleaning and as the dentist was checking over my mouth, he asked how everything was with my teeth and overall health of my mouth. Proudly, I answered, “Everything was great” and as I am thinking to myself, now let’s get this cleaning done and get me out of here! My Mission Viejo Dentist asks me if I noticed that I had chipped my crown? I said no, but food gets caught back there where you are pointing every time I eat. They had mentioned that the crown was chipped and even worse, after x-rays were taken, they noticed a cavity was developing under the crown. “Oh No!” was my first though, however, I knew I was in good hands because at the Vartanian Dental Group, crowns, fillings and veneers are their specialty! I made my appointment for two weeks later to have the crown replaced and the cavity removed. Of course, with me, nothing can be easy, so when Dr Vartanian removed the crown, he had to really work hard to get out the cavity, which meant he was drilling a little longer than he originally thought. One thing I want to point out, as I have had many procedures performed from various dentists, that just because he had to work a little harder to get the cavity out, he took his time and was gentle the entire time. If you have ever been to a dentist who is not so gentle, when they come up against a problem, they just get in there and grind away with little or no concern about the patient experience. Not here at the Vartanian Dental Group, which is why I really want to express the amazing care here. Usually when a procedure like this is done, you feel like you were just in a fist fight and need to go lay down for half a day. Not at the Vartanian Dental Group, he was so gentle, I was ready to go within one hour.
What if the chipped tooth was my real tooth instead of a crown? What options would I have then to fix my chipped tooth? If you have a chipped tooth, Dr Vartanian might repair the damaged tooth with a filling. If the repair is for one of the front teeth or if it can be seen when you smile, Dr Vartanian will probably use a procedure called bonding, which uses a tooth-colored composite resin.
If anything should happen to your teeth such as a broken tooth, chipped tooth, or fractured tooth, then call Dr Vartanian at the Vartanian Dental Group of Mission Viejo. Otherwise, your tooth could become further damaged or worse, become infected, possibly causing you to lose tooth. Treatment for a broken or chipped tooth will depend on how severely it is damaged. If only a small piece of enamel broke off, the repair can usually be done simply in one office visit. A badly damaged or broken tooth, like in the case of my crown, may require a more lengthy and costly procedure, such as replacing the tooth with a crown.
Permanent crowns can be made from porcelain, metal, resin, or ceramic. Different materials have different benefits, however metal crowns are the strongest. Porcelain and resin crowns can be made to look nearly identical to the original tooth, so most of the time, we go with porcelain. If the entire top of the tooth is broken off but the root is still intact, The Vartanian Dental group will call Dr Tyson Curtis, endodontist at the Vartanian Dental Group, who specializes in root canals, will perform root canal therapy and place a pin or a post in the canal, and then build up enough of a structure onto which a crown can be made. Later, Dr Vartanian can cement the crown over the pin or post-retained restoration.
Getting a crown will take two visits to the dentist’s office. On the first visit, you will take X-rays to check the roots of the tooth and surrounding bone. If no further problems are detected, they will numb the tooth and surrounding gum and then remove enough of the remaining tooth to make room for a crown. If the chip has left a large piece of the tooth missing, like when I had my motorcycle accident and went head over heels over the handle bars face first into the asphalt, then Dr Vartanian would have to use a filling material to build up the tooth to hold the crown. The next step is the impression of the tooth which is receiving the crown. The impressions are then sent to a lab where the crown is made, meanwhile Dr Vartanian will make a temporary crown, which will be worn for about two to three weeks. The temporary crown works great, just be careful not to treat it as a permanent tooth, because it is not as strong.
The second visit is where the magic happens. You are fitted for the real crown. It gets permanently placed and fit to your mouth and bite. Small adjustments will be made to ensure you are not hitting the tooth in an improper manner as you open and close your mouth and/or chew food. Once this is done, you are on your way out the door, good as new for another 15 to20 years.
For cracked crowns, cracked teeth, chipped teeth or just a chipped tooth, call the Vartanian Dental Group at 949-586-5669 to schedule your emergency appointment now.















Best smiles Mission Viejo, CA
#VartanianDentalGroup
Check us out and follow our accounts on the following social media platforms for more healthy smiles....